
Fracturas del cuello metacarpiano – SECMA Academy
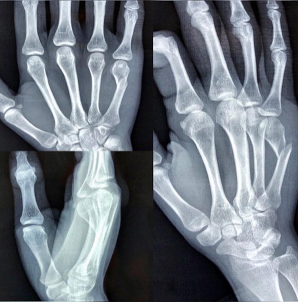
Conocé de forma clara y didáctica cómo explorar y diagnosticar las fracturas, haciendo hincapié en cuáles son las que se deben tratar con cirugía y presentando diversas técnicas de fijación.

Conocé de forma clara y didáctica cómo explorar y diagnosticar las fracturas, haciendo hincapié en cuáles son las que se deben tratar con cirugía y presentando diversas técnicas de fijación.